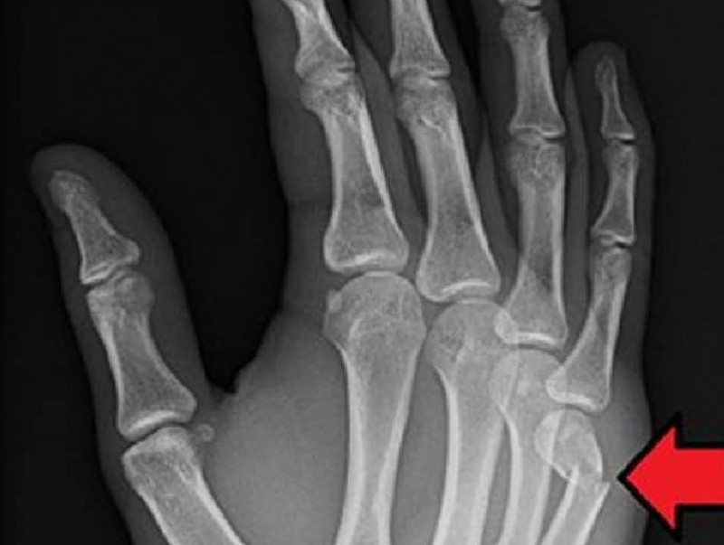
Гэмтэл, согог судлалын үндэсний төвийн Гар сарвуу нөхөн сэргээх бичил мэс заслын тасгийн эрхлэгч Л.Нанжид: “Сээрний ясыг гараараа цохих нь шууд утгаараа, ясыг ясаар цохиж байгаа хэрэг. Мэдээж аль нэг яс нь хугарна. Сээрний яс хугарах нь хэнд ч хамаагүй, үр өгөөжгүй. Харин тухайн хүний өөрийнх нь яс хугарвал хохиролтой. Мөн зөөлөн эд гэмтсэнээр хаван, хавдар үүсэж нян бактери бий болно. Үүнээс болж гараа тайруулах ч эрсдэлтэй. Ямар нэг гадны шалтгаангүй, зүгээр байж байгаад энэ мэт өөрийгөө гэмтээж хохирох, эмч нарын ачааллыг нэмэх нь асуудал дагуулж байна.
Зарим залуус “Өөрийнхөө гараар юу хийх нь өөрт чинь хамаагүй. Эмчилж эдгээх нь чиний хийх ёстой ажил" гэсэн байдлаар хандах нь бий. Гэхдээ ямар ч ач холбогдолгүй зүйл \сээрний яс\-ээс болж өөрийгөө гэмтээхгүй байгаасай, өөрийгөө бүү хохироогоосой гэсэндээ л эмч нар сэрэмжлүүлэг, зөвлөмж өгдөг юм шүү” гэв.
Гэмтэл, согог судлалын үндэсний төв
| Л.Нанжид: Сээрний яс цохисноос үүдэн гарын яс хугарвал гараа ч тайруулах эрсдэлтэй | ||
| Үзсэн: 1493 | Mongolian National Broadcaster |

Үндэсний телевиз
Сэтгэгдэл бичих:
АНХААРУУЛГА: Уншигчдын бичсэн сэтгэгдэлд MNB.mn хариуцлага хүлээхгүй болно. ТА сэтгэгдэл бичихдээ хууль зүйн болон ёс суртахууны хэм хэмжээг хүндэтгэнэ үү. Хэм хэмжээг зөрчсөн сэтгэгдэлийг админ устгах эрхтэй. Сэтгэгдэлтэй холбоотой санал гомдолыг 70127055 утсаар хүлээн авна.